歯軋り、食いしばり
2025年11月15日
⻭科医師の⼤町です。
⻭軋り⾷いしばりが多い気がする、肩こり・⾸こり、頭痛がある、顎関節症(⼝を開けづらい、⾳がするなど)、めまい・⽿鳴りがする、睡眠の質が落ちている、などの症状があったりしませんか?
それは⾃律神経の乱れによる症状かもしれません。
みなさん⾃律神経の乱れで想像つくことが、ストレスですよね。このストレスですがコルチゾールと呼ばれるホルモンの分泌を増加させ、免疫抑制が起こり、感染症や癌の発⽣にもかかわっているそうです。
ストレス、疲労、⾃律神経の乱れによる症状、調べればたくさん出てきますが、怖くなってしまいますよね。
さて私は⻭科医師なので今回は⻭軋り⾷いしばりについてお話しします。
⻭軋り⾷いしばりは⾃律神経と密接な関係にあると⾔われています。
では⻭軋り⾷いしばりが多いとどうなるのでしょうか?
顎の周囲には、咀嚼筋(そしゃくきん)と呼ばれる⼤きな筋⾁があり、⼝の開け閉めや、横に動かす運動をしている筋⾁であり、⻭軋り⾷いしばりでも、この咀嚼筋を使っています。この咀嚼筋ですが、頭や⾸の筋⾁と密接につながっています。
⻭軋り⾷いしばりにより筋⾁の緊張が続くと、⾎流が滞り、神経も圧迫され、交感神経が優位になりやすくなり、常に「緊張モード」が続いてしまいます。
また、⽣ 体 の ホ メ オ ス タ シ ス ( 恒 常 性 ) に 影 響 を 及 ぼ す と さ れ 、 さらに⼝の中の変化で⾔うと、⻭が折れる、⻭が⽋ける、⻭周病になりやすくなる、顎関節症の症状が出るなど、さまざまな問題を起こしてしまいます。
⼼拍数の上昇、⾎圧の上昇、呼吸数の増加、睡眠中の微⼩覚醒と関連していると⾔われています。
さらには早朝に⼼臓突然死が発症しやすいとも⾔われています。⻭軋り⾷いしばりだけでもいろんなことに関連してしまい、とても危険ですよね。
対策としては、インナーマッスルを鍛え正しい姿勢で⽣活する。⾸や肩のマッサージや電気治療により緊張を和らげる。腹式呼吸や軽いストレッチで副交感神経を働かせることや、就寝前のスマホ使⽤を控え、リラックス時間を確保するなどの事が⾃⽴神経の乱れを改善する上で有効的かと思いますが、⻭軋り⾷いしばりに対して直接的に予防や治療を⾏うことも痛みの原因の改善に繋がる為、以下の治療法がお勧めです。
① マウスピースを寝る時に装着。
② ボトックス注射。
③ 咀嚼筋のマッサージ。
④ ⾍⻭、⻭周病の治療。
⑤ 噛み合わせの改善。
⼼当たりのある⽅、⼼配な⽅、ご家族で⻭軋りをしている⽅がいましたら、ご相談ください。
以下参考⽂献です。
「神奈川⻭科⼤学⼤学院⻭学研究科
2014年度
博⼠論⽂
睡眠ブラキシズムと⾃律神経活動の関係
The relationship between sleep bruxism and autonomicactivity 2014年9⽉4⽇_糠澤真壱 」
🪥歯磨き粉って、何を基準に選べばいいの?
2025年11月1日
お久しぶりです!
千住大橋歯科・歯科衛生士の嶋村です🐼
本日は歯磨き粉の選び方についてのポイントを解説します!
ドラッグストアに行くと、歯磨き粉がずら〜っと並んでいて
「どれがいいの?」「全部同じに見える…!」って思ったことありませんか?😳
実は、歯磨き粉は“なんとなく”選ぶよりも
目的に合わせて選ぶことがとっても大事なんです。
今日は歯科衛生士の視点から、歯磨き粉選びのポイントをお話しします🦷✨
⸻
🪄まずは「目的」を決めよう!
歯磨き粉にはいろんなタイプがあります。
ざっくり分けると、こんな感じ👇
①むし歯を予防したい
②歯ぐきの腫れ・出血を防ぎたい(歯周病予防)
③しみるのを防ぎたい
④黄ばみを落としたい
「自分は何をケアしたいのか?」を決めるだけで、選ぶ基準がぐっと分かりやすくなります☺️
⸻
次にチェックすると良い“成分”と共に、医院で販売しているお勧めな歯磨き粉を紹介します!
①虫歯を予防したい
大事な成分は、”フッ素(フッ化ナトリウム)”
そして、”ハイドロキシアパタト”です
簡単にいうと
フッ化ナトリウムは、歯を強くして、初期むし歯を修復してくれる成分
ハイドロキシアパタイトは、歯と同じ成分で傷などに入り込み滑らかにし、むし歯の始まりを防ぐ成分です
フッ化物ナトリウム(NaF)は法律で1500ppmまでしか入れられないため、6歳以上はなるべく1500ppmに近い数値のものを選びましょう!
②歯茎の腫れ・出血を防ぎたい(歯周病予防)
大事な成分はIPMP・トラネキサム酸などで、炎症を抑えてくれる成分になります
こちらは、ジェルタイプでゆすいだ後も成分が歯に残りやすく、また薬用歯みがき類承認基準最大濃度配合されています。
③しみるのを防ぎたい
大事な成分は、硝酸カリウム・乳酸アルミニウムです
しみる刺激をブロックしてくれます
こちらは歯茎は下がっていないが知覚過敏がある方にお勧めです!
また医院では売られていませんが、歯茎が下がったことによる知覚過敏に関しては、ライオンのチェックアップルートケアaという歯磨き粉もお勧めです
こちらは、露出した歯の根元の表面のコラーゲンをコーティングしてくれるPCAという成分が入っています!
④黄ばみを落としたい
大事な成分はポリリン酸ナトリウム・PEGです
着色汚れを浮かせて落とすことができます
日本の法律上、歯を白く(漂白)する成分を入れた歯磨き粉の販売は禁止されているため、日本で売られている歯磨き粉でホワイトニングと書かれている物は着色を落とし、本来の歯の色に戻すものになります
歯磨き粉によっては歯を傷つけてしまうものもあるため注意が必要です
また着色を落とすのではなく、歯本来の色自体を白くしたい方は歯科医院でのホワイトニングをすることで白くすることができます🦷
『市販で売っているものでお勧めは何?』
『自分にあった歯磨き粉を知りたいー!』
『ホワイトニング興味ある!』などなんでもご相談下さい!
少し長くなりましたが、最後まで読んでくださってありがとうございます☺️毎日のケアの参考になればうれしいです🪥✨
🦷8020🦷
2025年10月15日
こんにちは!
千住大橋歯科・歯科医師のまきひらです。
突然ですが皆さんは「8020(ハチ・マル・ニイ・マル)運動」についてご存知でしょうか?
「知ってるよ」という方も多いと思いますが、意外と診療中に患者さんとお話ししてた際「聞いた事ないです」「初めて聞きました」という方もいらっしゃいました。
8020運動とは、「80歳になっても自分の歯を20本以上保とう」という、厚生労働省と歯科医師会が1989年に提唱した健康運動です。高齢になっても自分の歯でしっかり食べることができれば、健康寿命も伸びるという考え方に基づいています。
なぜ20本かというと、人が食事を美味しく、そしてしっかり噛めるためには20本以上の歯が必要だとされているからです。
今までに行われた歯の本数と食品を噛む(咀嚼)能力に関する調査によると、20本以上の歯が残っていれば硬い食材でもほぼ満足に噛めることが明らかになっています。
(グラフ)厚生労働省HPより
人間の歯は通常28本(親知らずを含めると32本)あります。そのうち最低20本残っていれば、ほとんどの食べ物を噛み砕くことができ、栄養も十分に摂ることができると言われています。
20本以上自分の歯が残っているというのは、健康な老後を送るための大きな目安なんです。
そして8020を達成する人は年々増えています!
8020運動が始まった1989年当初、達成率はたった7%程度でしたが、2020年の調査では50%を超える高齢者の方が達成しているという報告もあります!
これは、予防歯科への意識が高まってきた証拠であると考えます。
「歯は健康の入り口」とよく言われますが、まさにその通りだと私は思います。
8020運動は、ただのスローガンではなく、一人ひとりが健康に年齢を重ねていくための大切な目標です。
その目標のために今こそ定期検診を受けていただき虫歯・歯周病になっていないか、そして虫歯や歯周病にならないように「予防」という健康習慣をつけるために当医院を受診していただければと思っております。
ご不明な点や定期検診、診療のご相談はお気軽にどうぞ🤗
親友の本DVD出版
2025年10月1日
千住大橋歯科 院長 三上です。
先日大学時代の親友が歯科の参考書DVDを出版しました。同世代が活躍してくれると本当に嬉しい限りです。
一応宣伝させて頂きます。
http://www.mlritz.com/link/141/2/49/208/
歯科医師・歯科衛生士達の勉強方法は、、、
参考書・セミナーが主でした。
参考書はとても良い勉強方法です。
何度も見直せるし、いつでもどこでも学べます。
しかし、参考書として世の中に出るには少し時間がかかりますし、疑問点が生まれても質問をする機会は得られません。
その点、セミナーは最新の医療や疑問点を聞く事が出来るというのが大きな利点です。
しかし、セミナーは都心部開催や土日が多い為、地方の先生や土日診療がある先生は参加が難しいのが現状でした。
ただ、ここ数年でこの現象は大きく変わりました。
そうコロナを経て、オンラインでの学会参加。
オンラインセミナーの増加です。
今まで受講が困難だった先生達にはとても有難い流れだと思います。
私は最近ではもっぱらオンラインセミナーを受講しています。
デジタル、オンライン、AI化の波が歯科業界にも押し寄せる昨今です。
千住大橋歯科も診療記録が電子化され、iPadを用いて記録しています。お陰でカルテの保管量が減りました。
人とのコミュニケーションが失われる事、デジタル化への費用がかかる事、機械が故障する事など、、、デメリットは色々とあるのでしょうが、学べる機会が増えたのはとても大きなメリットですね。
松田先生頑張れー!
新人DAさん
2025年9月15日
はじめまして💫
今年の3月から入社しました、歯科助手の下尾です。
初めてのブログ投稿なので、まずは簡単に自己紹介をさせていただきます!
以前は病院で健康診断の部署に勤務しており、受付や案内を通して患者さまの健康を支える仕事をしていました。病気の早期発見や予防の大切さを実感する中で、「人の健康を守る」ということの責任と喜びを学びました。
歯科の仕事は未経験でしたが、働いてみると、歯の健康が全身の健康に深く関わっていることに驚きました。口腔ケアは虫歯や歯周病の予防だけでなく、健康にもつながると知り、歯科の重要性を改めて実感しています🦷✨
まだ覚えることはたくさんありますが、先生や先輩方のサポートをいただきながら、患者さまに安心して通っていただけるよう精一杯頑張っていきたいです。
このブログでは、日常で役立つお口のケアや、医院での出来事を少しずつ発信していけたらと思っています😊
季節の変わり目で体調を崩しやすい時期ですので、ご来院の際はどうぞお気をつけてお越しください。
今後ともよろしくお願いいたします!
✨初めまして✨
2025年9月1日
はじめまして✨
今年の2月に入社いたしました歯科助手の畑中と申します☺️
今回のブログでは歯科助手になったきっかけと最近使用している歯磨き粉について書いていきます。
歯科助手として働き始めたきっかけは二つあります。
一つ目は父が昨年インプラント治療を受け、よく噛めるようになり、食事も楽しくなったと喜んでいる姿を見たことです。ずっと奥歯がないことを悩んでいたようで、勇気を出して治療して良かったと言っていたのが印象に残っていました。
二つ目は私自身が歯科医院にプラスの印象を持っていたことです。子どものころ、家族に連れられて歯科医院に行ったときから、お掃除をしてもらうと歯がツルツルして気持ちがいいなと思っていました。歯科助手の立場から、千住大橋歯科をまた行きたいと思ってもらえる歯医者さんにできるように頑張っていきたいです。
私の使っている歯磨き粉はCheck-Up standard(チェックアップスタンダード)です。その特徴は泡立ちが少ない、香味がやさしい、清掃剤が少ないの三つです。
使用してみて一番驚いたのは泡立ちが少ないことです。口の中があわだらけにならず、あわがこぼれそうという心配をせずにゆっくりと時間をかけて歯を磨くことができるようになりました。さらに歯磨き後のうがいを少しの水で済ませることができるようになりました。
二つ目の特徴は具体的にはミントの味や香りが弱めであるということです。清涼感や辛さが苦手でも使いやすい点が良いと思います。三つ目の清掃剤が少ないというのは歯の表面を削りすぎないように作られているということです。これら三つの特徴のおかげでお家でもより効果的な虫歯予防ができると思います。
千住大橋歯科には今回紹介したチェックアップスタンダードの他にも、歯ブラシ🪥やフロスといった様々なセルフケア用品がそろっています。患者さんの年齢やお口の状態によって適したものは異なりますのでぜひ来院したさいに歯科医師や歯科衛生士に相談してみてください。
まだまだ暑い日が続きますので皆さまお体に気をつけてお過ごしください🌟
初めまして😊✨
2025年8月15日
はじめまして😊✨
今年の4月から千住大橋歯科に入社しました、歯科衛生士の菊地です!
今回、初めてブログを書かせていただきます🌸
私は高校1年生の頃から歯科助手として働き始めたことがきっかけで、
歯科の仕事に興味を持つようになりました。
先生や先輩方のサポートのもと、少しずつ口の中から人の健康を守る仕事の大切さや、
やりがい・面白さを感じるようになり、自然とこの道に進むことを決めていました。
歯のケアは毎日の暮らしの中にあるものだからこそその人に合った伝え方が大事だと思っています!日常の中で実践しやすいケア方法を一人ひとりに寄り添って伝えていきますのでどうぞよろしくお願いいたします!
これからこのブログを通じて、
日常の中で実践しやすいケア方法や、
皆さまのお口の健康を守るためのヒントを、お届けしていけたらと思っています🦷✨
どうぞよろしくお願いいたします!
まだまだ暑い日が続きますので、
ご来院の際はくれぐれもお気をつけてお越しください☀️
はじめまして🌻
2025年8月1日
こんにちは!今年の2月から入社いたしました歯科助手の鈴木と申します!
今回は私の自己紹介と、もうすぐ開催予定の「歯医者さん体験イベント」についてお話したいと思います!
まずはじめに私がここに入社するまでの経緯をお話したいと思います🥕🥦
私は管理栄養士の資格を持っているので、もともとは病院に勤めていました。そこでは調理や献立作成がメインで患者様と顔を合わせる事が全くありませんでした。
あるとき、管理栄養士が歯科医院で栄養相談・指導を通して活躍できると知り、とても興味を持ったため、この業界に入ることに決めました。
歯科医院では患者様と顔を合わせて治療やクリーニング、相談をして、患者様の笑顔を直接見る事ができるとてもやりがいの感じられる場所だと気づく事ができました。
当院ではまだ栄養相談は行なっていませんが、今後何かしらの形で「歯科と栄養の関係」について皆様にお伝えできればと思っています😊
続いて8/6開催予定の「歯医者さん体験イベント」についてです🦷
歯医者が普段どんなことをしているのか、このイベントを通して少しでも興味を持ち知っていただければと思います🌱
当日は
・自分の歯や指の模型作り ・歯科クイズ
・歯医者さん体験 ・歯型のキーホルダー作り
を予定しています!
💡自由研究にもつかえるイベントとなっています!参加お待ちしています!
詳細はスタッフまでお気軽に問い合わせください🫡
初めまして☺️
2025年7月15日
はじめまして!
今年の4月から入社いたしました、歯科衛生士の小幡です。
初めてのブログ投稿ですので、少し自己紹介をさせていただきたいと思います。
私が歯に興味を持ち始めたのは、治療で歯医者に行った時の先生の治療の仕方や、歯科衛生士さんのクリーニングで歯医者に通って行く中で歯の大切さを知ったことがきっかけになりました。
私は歯医者はもちろん、病院の類いは本当に苦手で出来れば通いたくない、歯医者=痛いというイメージを持っている人でした。
ですが、治療では歯医者は痛い、怖いという私の思いをくみ取って、痛くないよう工夫をしたり、声をこまめに掛けてくれたりと不安を軽減してくれました。
特に歯科衛生士さんのクリーニングでは安心して眠気に襲われる程痛みが少なく、でもしっかり丁寧にクリーニングを行ってくれて
今後虫歯にならないよう、セルフクリーニングの仕方を教えてくれました。
私は、これまでの経験をもとに、苦手意識や不安を感じる方々に少しでも安心を届けられるような存在でありたいと思っております。
また、患者さんの症状に応じたメインテナンスの内容やアプローチを適切に行えるように
セルフクリーニングにも意識して日々の生活を豊かにできるような歯科衛生士を目指して、日々精進していきたいと思います。
まだまだ、至らない点もあるかと思いますが
これから宜しくお願いいたします。
エアフロー☕️🌬️
2025年6月29日
こんにちは!歯科衛生士の韮澤です🐈⬛
みなさんお茶や紅茶、コーヒー、赤ワインなどはお好きですか?
これらのものはとても美味しいと思いますが…
歯が着色する原因になるものたちです☕️
日々の定期検診でも
「歯に茶色のがあるけど虫歯ですか?」や
「この茶色が気になります」と言われることも多くあります。
皆様に伺うとお茶、紅茶、コーヒー、赤ワインよく飲む方、おタバコを吸われる方が多いです!
なので当院では、、、
定期検診時に着色汚れが広範囲についている方には『エアフロー』というものをオススメしています❕
エアフローというのは、水と炭酸カルシウムの入った粉を使用し、着色や歯垢などの汚れを吹き飛ばしキレイにクリーニングしていきます🦷✨
歯と歯の間や歯の重なりがある部分の着色は普段の定期検診では完全に落とす事が出来なかったり、お時間がかかってしまう事がが多いですが、エアフローの使用によりキレイに落とすことが可能です!
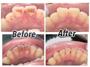
こちらの方は10何年ぶりに歯医者に来院した方なのですが、「エアフローがやりたくて来院しました」と言って下さり、ここまでキレイに落とすことが出来ました🦷✨️
着色が気になる方は定期検診の際にぜひお声掛け下さい💫また、お電話でご予約の際は、お電話にてエアフロー希望と言っていただけるとスムーズにご案内出来るかと思います📞𖦆
また着色が濃く付着してしまう方にオススメの「ブリリアントモアW」という歯磨き粉を最近入荷しました!
この歯磨き粉は研磨剤が不使用で、着色汚れを浮かせて落とす成分が配合されているので歯にも優しい歯磨き粉です❣️またむし歯予防になるフッ素や殺菌成分LSS(ラウロイルサルコシンナトリウム)が、入っているので口臭の原因菌を殺菌し口臭予防も行ってくれます🫢🌟
気になった方はスタッフまでお声掛け下さい🗣️









